Skip to main content

Sore or white tongue

A sore or white tongue is not usually serious and is often easily treated.

Things you can do if you have a sore or white tongue

Do

  • use a soft toothbrush to brush your teeth

  • brush your tongue or use a scraper to help improve a white tongue

  • use a straw to drink cool drinks

  • take paracetamol or ibuprofen

Don’t

  • do not use a toothpaste that contains sodium lauryl sulphate

  • do not eat spicy, acidic or hot food and drink that may irritate your tongue

  • do not smoke

  • do not drink alcohol

A pharmacist can help with a sore or white tongue

You can ask a pharmacist:

  • what's causing your sore or white tongue
  • if you can buy anything to help with any pain or irritation
  • if you should see a dentist or GP

Non-urgent advice: See a GP or dentist if:

  • you have tongue pain or itchiness that does not go away or gets worse
  • you have white patches on your tongue

Common causes of a sore or white tongue

Biting or burning your tongue with hot food or drink can cause pain and swelling. This should only last a few days.

A white tongue can be a sign of a health condition, such as anaemia, scarlet fever, lichen planus, leukoplakia, geographic tongue, mouth ulcers or oral thrush.

But do not self-diagnose. See a GP if you're worried.

Lichen planus

Open mouth showing bottom row of teeth, with white patches on the tongue and inside the cheek.
Lichen planus can cause white patches on the tongue and inside the cheek.

Read about lichen planus.

Leukoplakia

Pink tongue with white patches on the left side, poking out of a person's mouth.
Leukoplakia can cause white, raised patches on the tongue, inside of the cheeks, or on the gums, that do not come off when you rub them.

Read about leukoplakia.

Geographic tongue

A tongue with blotchy patches, poking out of a person's mouth. Some of the patches are red and some are white.
Blotchy, red patches on the tongue that have a white or light-coloured border may be geographic tongue.

Find out more about geographic tongue on the Oral Health Foundation website

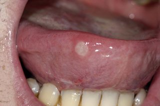
Mouth ulcer

A white, round ulcer on the underside of someone's tongue, which is poking out of their mouth.
Mouth ulcers are round, painful and swollen sores that look like blisters and can appear on the tongue, inside of the cheeks, or the lips.

Read about mouth ulcers.

Oral thrush (mouth thrush)

An open mouth with tongue poking out. There is a solid white patch from the middle to the back of the tongue.
An itchy, red mouth with white patches on the tongue could be oral thrush. It's more common in babies and older people with dentures.

Read about oral thrush (mouth thrush).

Page last reviewed: 16 May 2023
Next review due: 16 May 2026